South-Korea (한국어)
South-Korea (한국어)
Case Study

FDM 임플란트가 Oreo의 걸음에 활기를 되찾아 줍니다.


Oreo the dog enjoying the use of his new implant.

FDM produces strong, durable, biocompatible parts, making it ideal for implant manufacturing.

A painful problem.

In 2011, a six-year-old mixed-breed dog named Oreo suffered a dislocated left hind patella. The patella was removed to relieve the pain, but he became lame after the surgery. The veterinary practitioner then consulted the Orthopaedic Innovation Centre (OIC), a research and testing facility that serves the medical device market, about the possibility of creating an artificial implant for Oreo. The OIC regularly uses 3D printing as a means of shortening the design and production cycles for its clients, as well as the creation of low volume or customized products, and saw this as an excellent solution for Oreo.

FDM is an ideal technology for implant manufacturing because it can produce strong, durable, biocompatible parts with the right physical properties.

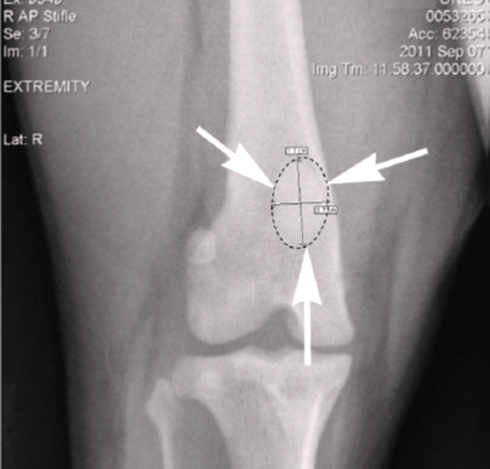
X-ray of original hind stifle joint and patella.

Real solution.

“The tool we developed combines the two existing tools into a single unit,” says design engineer Richard Franks. “As the surgeon squeezes two handle pieces together, the ratchet tightens the screws.” The engineers produced a working polycarbonate ratchet strong enough to withstand testing on stainless steel set-screws and durable enough to survive an autoclave. In addition, says senior engineering manager Troy McDonald, “Surgeons are really rough on these prototypes while trying them out, so we have got to have tough material. FDM gave us the strength and durability we needed.”

To help Oreo, OIC obtained a donated patella that was used to generate a scaled digitized copy. A biomedical engineer then converted the file into a computer-aided design (CAD) model. X-ray radiographs of Oreo’s other patella were then used to modify the CAD design to match his femur.

 

“In Oreo’s case, we were able to produce a custom-tailored implant in only four days including design, analysis, physical testing, and manufacturing. As we move down the learning curve, it will probably be possible to produce similar implants in only a day or two.”

CAD model of patella.
FDM printed patella pictured before implantation.

3D printed implant.

OIC built an artificial patella using FDM® technology, an additive manufacturing process that builds plastic parts layer-by-layer from CAD files, on its Stratasys® 3D printer using PC-ISO™ biocompatible polycarbonate (ISO 10993 USP Class VI). Physical testing was performed on the implant to validate its ability to provide the necessary mechanical strength. The implant was sterilized using ethylene oxide at 54°C (130°F) for one hour. During Oreo’s surgery, the implant was attached to the tendon and quadriceps using polypropylene sutures.

고객사례 다운로드

Related Content

chocolate skulls np

FDM과 PolyJet, 어떤 기술이 적합할까요?

FDM과 PolyJet 3D 프린팅 기술 중 귀사의 적용분야에 적합한 기술을 선택하세요.

더보기
3D printed handling tool for robotic arms enables complex geometries not achievable with CNC.

Celoplás는 3D 프린팅을 이용하여 생산 능력을 최적화하기 위해 지속적으로 노력합니다.

포르투갈 소재의 Celoplás는 3D 프린팅을 이용하여 생산 능력을 최적화하기 위한 노력을 지속합니다.

더보기
Abstract blue image.

RTM Ortopedia Personalizzata 보철 금형이 3D 프린팅으로 새로운 맞춤 수준을 실현합니다.

RTM Ortopedia Personalizzata는 3D 프린팅을 사용하여 보철물을 맞춤 제작하고 높은 정밀도 및 기능성을 공정에 추가합니다.

더보기
chocolate skulls np

FDM과 PolyJet 3D 프린팅 기술 중 귀사의 적용분야에 적합한 기술을 선택하세요.

3D printed handling tool for robotic arms enables complex geometries not achievable with CNC.

포르투갈 소재의 Celoplás는 3D 프린팅을 이용하여 생산 능력을 최적화하기 위한 노력을 지속합니다.

Abstract blue image.

RTM Ortopedia Personalizzata는 3D 프린팅을 사용하여 보철물을 맞춤 제작하고 높은 정밀도 및 기능성을 공정에 추가합니다.